
Lumify is with you every step of the way
Evaluate, diagnose and treat your patients in minutes with a multi-point POCUS exam.

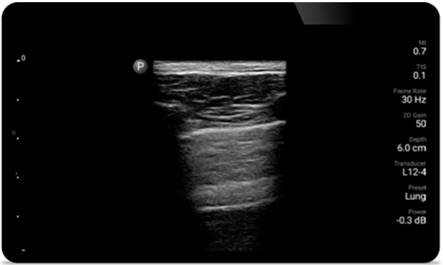
Breathe easier with Lumify
Lumify can help assess patients faster and improve accuracy when diagnosing common causes of dyspnea and other lung conditions.

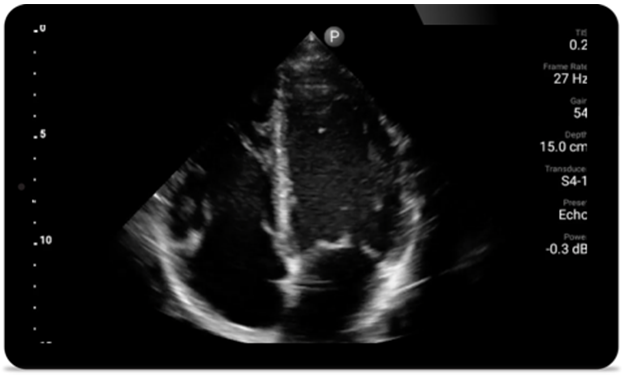
Every second counts in cardiac care
Heart attack patients need immediate care. Lumify's cardiac presets can help patients get diagnosed faster to improve their outcomes.
















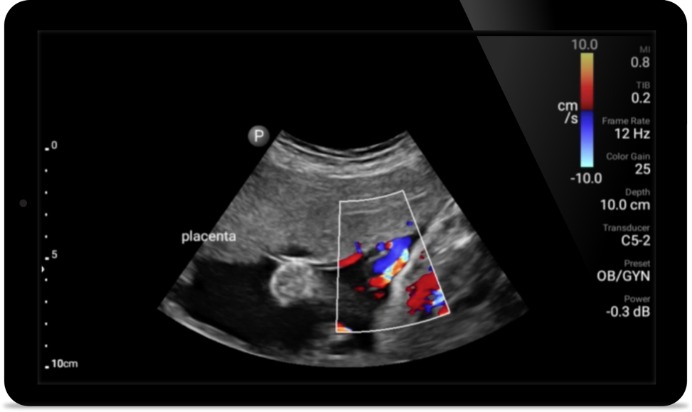
• 4 to 1 MHz extended operating frequency range • 2D, color Doppler, M-mode, advanced XRES and multivariate harmonic imaging • High-resolution imaging for abdominal and cardiac applications: Cardiac, OB/GYN, Lung, Abdomen and FAST imaging preset optimizations Lumify aids life-saving technology in prehospital setting



Video
Lumify aids life-saving technology in prehospital setting

Case study
Integrating Lumify into a resuscitation environment

Quick guide
Focused Assessment with Sonography in Trauma (FAST) exam
You are about to visit a Philips global content page
ContinueThe information on this site is not intended for consumers. The information is directed exclusively to health professionals, health practitioners, persons who are purchasing officers in hospitals, and persons who are engaged in the business of wholesaling therapeutic goods (as per s42AA of the Therapeutic Goods Act 1989 (Cth), and s6 of the Therapeutic Goods (Therapeutic Goods Advertising Code) Instrument 2021).
By clicking “Continue” you are indicating that you are one of the intended audiences. Click cancel to be redirected to the Philips website.