
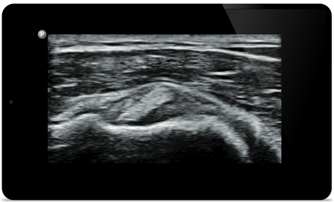
Start treatment with an accurate diagnosis
Lumify helps you see the fine details in muscles, joints, ligaments, tendons and cartilage to make a more accurate diagnosis of injuries.

Respond fast with whole-body imagery
Lumify can help you assess patients from head to toe, whether it’s plantar fasciitis, tendonitis or bursitis in the patellar tendon, or even shoulder instability in the rotator cuff.

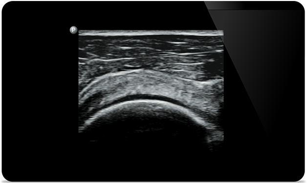
Get the clarity of larger ultrasound systems with Lumify
SonoCT reinforces real tissue imaging while eliminating random artifacts. This technology produces images superior to conventional imaging in up to 94% of patients.


Professor, Charles Sturt University














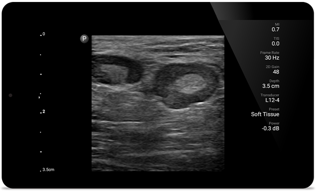
• 5 to 2 MHz extended operating frequency range • 50mm radius of curvature • 2D, color Doppler, M-mode, advanced XRES and multivariate harmonic imaging, SonoCT • High-resolution imaging for deeper applications: abdominal, gall bladder, OB/GYN and lung imaging preset optimizations



Video
Ultrasound-guided
knee arthrocentesis

Case study
Supraspinatus tendon tear

Quick guide
Ultrasound-guided hip arthrocentesis
You are about to visit a Philips global content page
ContinueThe information on this site is not intended for consumers. The information is directed exclusively to health professionals, health practitioners, persons who are purchasing officers in hospitals, and persons who are engaged in the business of wholesaling therapeutic goods (as per s42AA of the Therapeutic Goods Act 1989 (Cth), and s6 of the Therapeutic Goods (Therapeutic Goods Advertising Code) Instrument 2021).
By clicking “Continue” you are indicating that you are one of the intended audiences. Click cancel to be redirected to the Philips website.